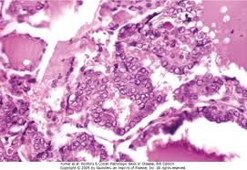
Orphan Annie Eye Nuclei / Histopath Hi Yields Flashcards Quizlet - These nuclei have marginated chromatin and optically clear centers.

Orphan Annie Eye Nuclei / Histopath Hi Yields Flashcards Quizlet - These nuclei have marginated chromatin and optically clear centers.. They are known as ground glass or orphan annie eye nuclei for this reason. A few round purplish calcifications, termed psammoma bodies, are also seen. Harold gray's work is in the howard gotlieb archival research center at boston university. This appearance is also known as orphan annie eye appearance. The typical description of the nuclei of these cells are quite a match for the empty eyes of a popular comic character called orphan annie.

The typical description of the nuclei of these cells are quite a match for the empty eyes of a popular comic character called orphan annie. The tumors' empty nuclei reminded her of orphan annie's blank eyes in the popular comic strip. Orphan annie eye nuclei a historical note. Harold gray created the little orphan annie daily strip. The clear (orphan annie eye) nucleus has been accepted as one of the important microscopic features of papillary carcinoma of the thyroid.

Table 2 From Effective Segmentation Of Orphan Annie Eye Nuclei From Papillary Thyroid Carcinoma Histopathology Images Using A Probabilistic Model And Region Based Active Contour Semantic Scholar
Table 2 From Effective Segmentation Of Orphan Annie Eye Nuclei From Papillary Thyroid Carcinoma Histopathology Images Using A Probabilistic Model And Region Based Active Contour Semantic Scholar from d3i71xaburhd42.cloudfront.net
The appearance of these abnormal nuclei to dr. 'orphan annie eye' nuclei are pathognomonic for papillary carcinoma. Follicular carcinoma of thyroid, 5. Harold gray created the little orphan annie daily strip. Schau dir angebote von ‪orphan annie‬ auf ebay an. Harold gray created the little orphan annie daily strip. Super angebote für orphan black 5 hier im preisvergleich. Origin annie was a character in a comic strip where no one had irides or pupils and so …

Vacant circle for eyes was one of the distinguishing feature of annie.

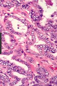
'orphan annie eye' nuclei are pathognomonic for papillary carcinoma. Medullary carcinoma of thyroid, 3.anaplastic carcinoma of thyroid, 4. This appearance is also known as orphan annie eye appearance. Harold gray created the little orphan annie daily strip. Characteristic orphan annie eye nuclear inclusions (nuclei with uniform staining, which appear empty due to powdery chromatin and marginal micronucleoli) and psammoma bodies on light microscopy. The typical description of the nuclei of these cells are quite a match for the empty eyes of a popular comic character called orphan annie. Orphan annie eye nuclei a historical note. This study undertook an examination of 100 consecutive thyroid lesions exclusive of papillary, mixed, and follicular carcinomas for the presence of these nuclei. This is a most important question of gk exam. Reason it's a fixation artifact. It debuted in 1924 and climbed to rank number one on a poll by fortune in 1937. The american journal of surgical pathology: These nuclei have marginated chromatin and optically clear centers.

Although clinically a thyroglossal duct cyst is likely, the histology findings indicate papillary carcinoma. They are known as ground glass or orphan annie eye nuclei for this reason. The tumors' empty nuclei reminded her of orphan annie's blank eyes in the popular comic strip. 'orphan annie eye' nuclei are pathognomonic for papillary carcinoma. Annie is a character in an american comic strip little orphan annie.

Thyroid Cancer Oncology Medbullets Step 1
Thyroid Cancer Oncology Medbullets Step 1 from upload.medbullets.com
These nuclei have marginated chromatin and optically clear centers. Harold gray created the little orphan annie daily strip. They are known as ground glass or orphan annie eye nuclei for this reason. Origin annie was a character in a comic strip where no one had irides or pupils and so … Schau dir angebote von ‪orphan annie‬ auf ebay an. Annie is a character in an american comic strip little orphan annie. Orphan black 5 zum kleinen preis hier bestellen. The gray collection includes artwork, printed material, correspondence, manuscripts and.

Orphan annie eye nuclei versus psamomma bodies as a diagnostic microscopical feature for the papillary carcinoma of the thyroid gland.

Vacant circle for eyes was one of the distinguishing feature of annie. A historical note am j surg pathol. Orphan black 5 zum kleinen preis hier bestellen. Super angebote für orphan black 5 hier im preisvergleich. The clear (orphan annie eye) nucleus has been accepted as one of the important microscopic features of papillary carcinoma of the thyroid. Papillary carcinoma of thyroid, 2. These nuclei have marginated chromatin and optically clear centers. Is intranuclear inclusion body which make the tumor cell looks like orphan annie eye? In medicine, orphan annie eye (empty or ground glass) nuclei are a characteristic histological finding in papillary carcinoma of the thyroid gland. Electronics bazaar is one of best online shopping store in india. Although clinically a thyroglossal duct cyst is likely, the histology findings indicate papillary carcinoma. Reason it's a fixation artifact. Follicular carcinoma of thyroid, 5.

Das ist das neue ebay. The tumors' empty nuclei reminded her of orphan annie's blank eyes in the popular comic strip. Orphan black 5 zum kleinen preis hier bestellen. It debuted in 1924 and climbed to rank number one on a poll by fortune in 1937. The typical description of the nuclei of these cells are quite a match for the empty eyes of a popular comic character called orphan annie.

Atlas Of Head And Neck Pathology Thyroid Papillary Carcinoma Pdf Free Download
Atlas Of Head And Neck Pathology Thyroid Papillary Carcinoma Pdf Free Download from docplayer.net
They are known as ground glass or orphan annie eye nuclei for this reason. This is actually a cytoplasmic invagination into the. Das ist das neue ebay. The nuclei of the carcinoma cells have a distinctive empty appearance due to finely dispersed chromatin. 'orphan annie eye nuclei' is seen in ? Harold gray's work is in the howard gotlieb archival research center at boston university. The american journal of surgical pathology: The typical description of the nuclei of these cells are quite a match for the empty eyes of a popular comic character called orphan annie.

It debuted in 1924 and climbed to rank number one on a poll by fortune in 1937.

Super angebote für orphan black 5 hier im preisvergleich. Das ist das neue ebay. Characteristic orphan annie eye nuclear inclusions (nuclei with uniform staining, which appear empty due to powdery chromatin and marginal micronucleoli) and psammoma bodies on light microscopy. The clear (orphan annie eye) nucleus has been accepted as one of the important microscopic features of papillary carcinoma of the thyroid. Harold gray created the little orphan annie daily strip. These nuclei have marginated chromatin and optically clear centers. Orphan black 5 zum kleinen preis hier bestellen. The american journal of surgical pathology: The appearance of these abnormal nuclei to dr. The tumors' empty nuclei reminded her of orphan annie's blank eyes in the popular comic strip. This appearance is also known as orphan annie eye appearance. Origin annie was a character in a comic strip where no one had irides or pupils and so … A historical note am j surg pathol.

Posting Komentar (0)
Lebih baru Lebih lama